Перейти к:
Микрохирургическое удаление кавернозной мальформации дорсальной поверхности среднего мозга путем супрацеребеллярного инфратенториального доступа: клинический случай
https://doi.org/10.47093/2218-7332.2025.1210
Аннотация
Известные хирургические доступы к дорсальной части среднего мозга включают: затылочный транстенториальный, супрацеребеллярный инфратенториальный, задний субтемпоральный и тонзиллоувеальный трансакведуктальный подходы.
Описание случая. 38-летний мужчина обратился с жалобами на легкую правостороннюю слабость и диплопию после эпизода головной боли и рвоты за две недели до поступления. В неврологическом статусе выявлено незначительное снижение мышечной силы с правой стороны, косоглазие вниз и наружу, легкий мидриаз и паралич аккомодации левого глаза, альтернирующий синдром. С помощью магнитно-резонансной томографии выявлен разрыв кавернозной мальформации размером 20×30×25 мм левой ножки среднего мозга, гематомы в каверноме. Путем супрацеребеллярного инфратенториального доступа в положении сидя с минимальным разрезом дорсальной части среднего мозга кавернома была полностью резецирована вместе с окружающей подострой гематомой. В раннем послеоперационном периоде наблюдался регресс неврологической симптоматики.
Обсуждение. Выбор медианной субокципитальной краниотомии и контралатерального супрацеребеллярного инфратенториального доступа является предпочтительным для полной резекции каверномы дорсальной поверхности среднего мозга во избежание послеоперационного неврологического дефицита.
Ключевые слова
Список сокращений:
- КМ – кавернозная мальформация
- КТ – компьютерная томография
- МРТ – магнитно-резонансная томография
Кавернозные мальформации (КМ), или каверномы центральной нервной системы, представляют собой образования, состоящие из множества прилежащих друг к другу полостей неправильной формы (каверн), выстланных эндотелием и заполненных кровью.
По данным магнитно-резонансной томографии (МРТ) на этапе скрининга и нескольких тысяч аутопсий КМ центральной нервной системы обнаруживают в популяции в 0,3–0,6% случаев [1][2]. Наиболее часто первые симптомы появляются в молодом возрасте – в среднем в 23 года [3].
Из всех КМ головного мозга локализация в стволе составляет от 19 до 30% [3], из них 14,2–25% возникают в среднем мозге [4]. При церебральных КМ ежегодная частота первичных кровоизлияний составляет 0,39–1,3%, повторных – 4,5–22,9% [5]. Считается, что каверномы мозга, расположенные в области ствола, наиболее склонны к повторным кровоизлияниям с ежегодным риском 21–60% и осложнениям при хирургическом вмешательстве, чем при других локализациях каверном [6–9]. Риск повторных кровотечений увеличивается при неполной хирургической резекции [9][10]. Эти особенности позволяют выделить КМ ствола мозга в отдельную группу.
Тактика оперативного лечения первичного кровотечения из КМ среднего мозга зависит от сроков кровоизлияния, возраста и соматического статуса пациента и вызывает необходимость индивидуального подхода к выработке оптимальной стратегии лечения.
Цель описания случая – продемонстрировать опыт успешной радикальной резекции КМ ножки среднего мозга путем супрацеребеллярного инфратенториального доступа как эффективной хирургической стратегии при первичном кровоизлиянии у молодого пациента.
ОПИСАНИЕ СЛУЧАЯ
Мужчина 38 лет, строитель, 13.05.2024 обратился за медицинской помощью в ГУ «Национальный медицинский центр Республики Таджикистан Шифобахш» с жалобами на диплопию и легкую слабость в правых конечностях, которые возникли внезапно после эпизода головной боли и рвоты около двух недель назад.
Клиническое обследование при поступлении: сознание ясное, по шкале комы Глазго 15 баллов, соматический статус без особенностей: частота дыхательных движений 16 в минуту, частота сердечных сокращений 80 в минуту, артериальное давление 120/80 мм рт. ст. В неврологическом статусе отмечено незначительное снижение силы с правой стороны – IV/V степени по классификации исследования мышечного тонуса1, косоглазие вниз и наружу, легкий мидриаз и паралич аккомодации левого глаза, альтернирующий синдром.
На компьютерной томографии (КТ) головного мозга выявлено нечетко ограниченное гиперденсное образование в нижней части дорсальной поверхности левой ножки среднего мозга размером 20×30×25 мм. По данным МРТ головного мозга выявлено гиперинтенсивное поражение в T1- и T2-взвешенных изображениях с четко определенным гипоинтенсивным ободком, гематомы в каверноме 20×30×25 мм (рис. 1A–C).

РИС. 1. Магнитно-резонансная томография пациента 38 лет с кавернозной мальформацией размером 20×30×25 мм в дорсальной части левой ножки среднего мозга (13.05.2024).
A, В. Аксиальные срезы, T2-взвешенное изображение: кавернозная мальформация (синяя стрелка), гематомы в каверноме (оранжевая стрелка).
С. Сагиттальный срез, T1-взвешенное изображение: кавернозная мальформация (стрелка).
На основании клинических данных и результатов нейровизуализации поставлен диагноз: разрыв КМ левой ножки среднего мозга, гематомы в каверноме.
С целью предотвратить послеоперационный неврологический дефицит, оцененный по дополнительным шкалам (4 балла по Spetzler–Martin [11] и 3 балла по Lawton–Young [12]), для радикальной резекции каверномы выбрана медианная субокципитальная краниотомия и контралатеральный супрацеребеллярный инфратенториальный доступ с последующей резекцией каверномы (рис. 2A–E).

РИС. 2. Схематическое изображение локализации каверномы дорсальной поверхности среднего мозга и выбора стратегии ее резекции.
А. Аксиальный срез. Стрелками показаны доступы к среднему мозгу: левая нижняя – супрацеребеллярный инфратенториальный; правая верхняя – задний субтемпоральный.
В. Аксиальный срез. Стрелками показаны доступы к среднему мозгу: левая нижняя – контралатеральный супрацеребеллярный инфратенториальный; правая верхняя – передний субтемпоральный; правая нижняя – задний субтемпоральный доступы.
С. Сагиттальный срез. Стрелками показаны доступы к среднему мозгу: правая верхняя – затылочный транстенториальный; правая нижняя – супрацеребеллярный инфратенториальный.
D. Обнажение каверномы с помощью торкулярной краниотомии и супрацеребеллярного инфратенториального доступа (голубая линия).
Е. Доступ к каверноме через супрацеребеллярную инфратенториальную плоскость и четверохолмную цистерну; идентификация восходящих глубоких вен мозга; определение питающих артерий моста и среднего мозга; обзор боковых отделов; диссекция четверохолмной цистерны для обеспечения свободного коридора (верхний вид среднего мозга, моста, тенториума с пинеальной области и верхней ножки мозжечка); мобилизация сосудов, вен, впадающих в верхний сагиттальный синус.
Примечание: ic – inferior colliculus, нижнее двухолмие; icv – internal cerebral vein, внутренняя мозговая вена; pg – pineal gland, шишковидная железа; p3 – posterior cerebral artery (segment p3), задняя мозговая артерия (сегмент р3); sc – superior colliculus, верхнее двухолмие; vG – vein of Galen, вена Галена; vR – vein of Rosenthal, вена Розенталя; IV – cranial nerves (IV pair), черепно-мозговые нервы (IV пара).
Ход операции
Операция проведена 28.05.2024 под общей эндотрахеальной анестезией в положении пациента сидя – для придания спине вертикального положения, и с головой, наклоненной вперед для сглаживания угла тенториума. Голову пациента жестко фиксировали с помощью скобы Мейфилда–Киса. При выполнении операции использовался операционный микроскоп Carl Zeiss OPMI Vario S88 (Carl Zeiss, Германия).
Хирургический доступ осуществлен линейным кожным разрезом длиной 12 см в теменно-затылочной области. В области затылочного бугра создано фрезевое отверстие, которое обеспечило круговую краниотомию размером 80×60 мм с обнажением синусного стока и контралатеральный супрацеребеллярный инфратенториальный доступ с гравитационной ретракцией мозжечка. Верхний край костного лоскута располагался на поперечном синусе.
Проведен полуовальный разрез твердой мозговой оболочки, укрепленный узловыми швами, который приподнял поперечные синусы и обеспечил вход в супрацеребеллярную инфратенториальную плоскость. Провисание мозжечка расширило естественный коридор к четверохолмной цистерне. Из большой цистерны дренирована спинномозговая жидкость и путем диссекции паутинных спаек, соединяющих задний верхний край мозжечка с внешним краем намета, отведен мозжечок. Для доступа к свободному краю намета мозжечка были пересечены мостовые вены между мозжечком и наметом. Проведена диссекция паутиной оболочки заднего края четверохолмной цистерны для визуализации дорсальной части среднего мозга.
Супрацеребеллярный инфратенториальный доступ в положении сидя открывает анатомическую плоскость настолько широко, что препарирование значительно облегчается. Любой дискомфорт от работы с поднятыми руками компенсируется панорамой без ретрактора и операционным полем, очищенным гравитацией (рис. 3А). Проведена арахноидальная диссекция, обнаружены большие глубокие вены (В. Галена, внутренние мозговые вены, внутренние затылочные вены, базальные вены Розенталя, перицентральные вены мозжечка). Контралатеральный подход позволил визуализировать IV пару черепно-мозговых нервов и Р3 сегмента задней мозговой артерии.
С минимальным разрезом дорсальной части среднего мозга (рис. 3В) кавернома полностью резецирована вместе с окружающей подострой гематомой размером 2×3×2,5 см (рис. 3С). Выполнен гемостаз до чистых промывных вод. В ложе кавреномы уложена гемостатическая коллагеновая губка. Твердая мозговая оболочка ушита герметично. Костный лоскут зафиксирован нитками. Проведено послойное ушивание раны. Наложена асептическая повязка. Общая кровопотеря составила 250 мл.

РИС. 3. Резекция кавернозной мальформации ножки среднего мозга путем супрацеребеллярного инфратенториального доступа у мужчины 38 лет (28.05.2024).
A. Общий вид супрацеребеллярного инфратенториального доступа после вскрытия твердой мозговой оболочки.
B. Разрез дорсальной части среднего мозга, доступ к каверноме (стрелка).
C. Макропрепарат удаленной каверномы 2×3×2,5 см.
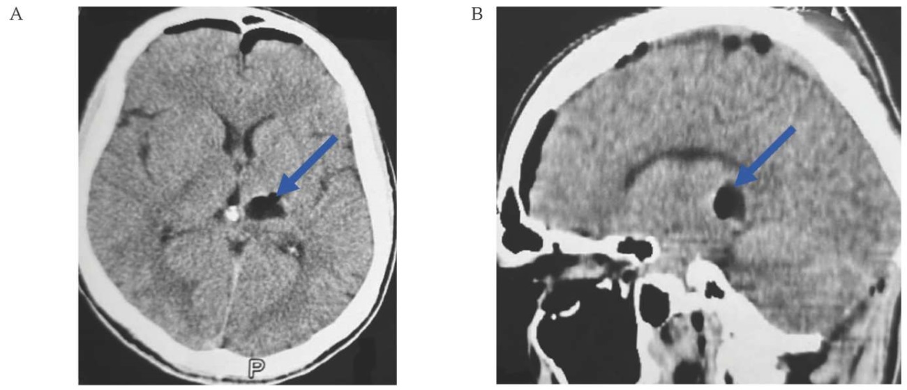
Контрольная КТ в послеоперационном периоде проведена на третьи сутки, по данным исследования: состояние после медианной субоксипитальной краниотомии, остаточной каверномы и повторного кровоизлияния не выявлено (рис. 4A, B).

РИС. 4. Компьютерная томография пациента 38 лет на 4-й день после удаления кавернозной мальформации в дорсальной части левой ножки среднего мозга (01.06.2024).
A. Аксиальный срез: кавернома с капсулой гематомы полностью резецирована (стрелка).
В. Сагиттальный срез: кавернома с капсулой гематомы полностью резецирована (стрелка).
В послеоперационном периоде сознание пациента ясное (по шкале комы Глазго 15 баллов), диплопия и умеренные пирамидные нарушения исчезли на 12-е сутки. Течение послеоперационного периода гладкое, без развития послеоперационных осложнений. Выписан из стационара на 15-е сутки после проведения хирургического вмешательства.
Пациент обратился на контрольный осмотр и оценку отдаленных результатов лечения 18.02.2025. При осмотре сознание ясное. Чувствительных и двигательных нарушений после операции не отмечается. Ходит и обслуживает себя самостоятельно. Пациент полностью восстановился и вернулся к профессиональной деятельности без ограничений.
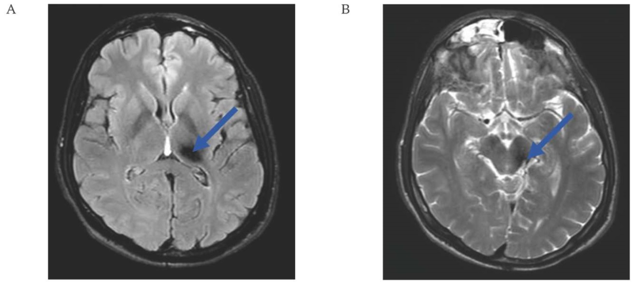
По данным контрольной МРТ головного мозга от 18.02.2025: состояние после удаления каверномы. МР-признаки постоперационных глиозных изменений. Остаточной каверномы и повторного кровоизлияния не выявлено (рис. 5A, B).

РИС. 5. Магнитно-резонансная томография головного мозга пациента 38 лет через 9 месяцев после удаления кавернозной мальформации в дорсальной части левой ножки среднего мозга (18.02.2025).
А, В. Аксиальные срезы: постоперационные глиозные изменения (стрелки).
ОБСУЖДЕНИЕ
Одним из главных вопросов лечения КМ среднего мозга на современном этапе является выбор сроков проведения оперативного вмешательства: в остром или подостром периоде.
В нашем случае пациент оперирован на 20-е сутки после первичного кровоизлияния. Кавернома находилась в подострой гематоме, которую было легко удалить вместе с самой каверномой.
Согласно принятой мировой практике и нашему клиническому опыту хирургическое лечение в подострой стадии кровоизлияния, когда гематома разжижена, эффективно для максимального удаления гематомы с минимальным разрезом ствола мозга [13]. В таких случаях ограниченный разрез ствола мозга способствует наиболее полному неврологическому восстановлению.
Следующий вопрос касается выбора тактики для безопасного подхода к зоне среднего мозга.
Дорсальные повреждения локализуются в зонах двух тонких горизонтальных линий сразу над и под четверохолмной пластинкой. Для их хирургического лечения используют супратенториальный субокципитальный, затылочный транстенториальный, супрацеребеллярный инфратенториальный, задний субтемпоральный и тонзиллоувеальный трансакведуктальный доступы [14].
В представленном случае для удаления КМ среднего мозга был применен инфратенториальный доступ к задней ямке – метод, наиболее часто используемый ведущими мировыми нейрохирургами, такими как M. Lawton и R. Spetzler [3–5]. Применены две основные краниотомии для доступа к задней ямке: ретросигмовидная (латеральная субокципитальная) и медиальная субокципитальная. Ретросигмовидный надмозжечковый доступ использовался для достижения латерального среднего мозга. Медиальный субокципитальный надмозжечковый доступ использовался для достижения дорсальной части среднего мозга и четверохолмия [15].
Использованная хирургическая тактика в подостром периоде кровоизлияния из каверномы позволила осуществить радикальное удаление КМ среднего мозга, обеспечить полное неврологическое восстановление пациента с сохранением трудоспособности и профилактировать повторное кровоизлияние (время наблюдения составило 6,5 месяца).
Знание коридоров ствола мозга необходимо для планирования микрохирургических вмешательств на образованиях ствола мозга для минимизации рисков повреждения близлежащих структур.
ЗАКЛЮЧЕНИЕ
Подострая фаза кровотечения из КМ среднего мозга может быть лучшим временем для хирургической резекции каверномы. Контралатеральный супрацеребеллярный инфратенториальный доступ является одним из возможных вариантов для удаления КМ дорсальной части среднего мозга. Его можно рассмотреть, если образование расположено позади ножки мозга, обращено к интрапедункулярной ямке и межножковой цистерне и распространяется на дорсальную сторону.
ВКЛАД АВТОРОВ
Н.О. Рахимов и Х.Д. Рахмонов провели хирургическое лечение и разработали концепцию научной работы. Д.Р. Сангинов, М.А. Хасанов отвечали за подбор и описание снимков КТ и МРТ. Н.О. Рахимов осуществил сбор материала и анализ литературных данных. Все авторы одобрили окончательную версию публикации.
AUTHORS CONTRIBUTIONS
Narzullo O. Rahimov and Khurshed J. Rakhmonov performed surgical treatment and developed the concept of scientific work. Dzhumaboy R. Sanginov, Mahmarajab A. Khasanov developed the methodology for selecting and describing CT and MRI images. Narzullo O. Rahimov collected the material and analyzed the literature data. All authors approved the final version of the publication.
Соблюдение этических норм. Заявление о согласии. Пациент дал согласие на публикацию представленной статьи «Микрохирургическое удаление кавернозной мальформации дорсальной поверхности среднего мозга путем супрацеребеллярного инфратенториального доступа: клинический случай» в журнале «Сеченовский вестник».
Конфликт интересов. Авторы заявляют об отсутствии конфликта интересов.
Финансирование. Исследование не имело спонсорской поддержки (собственные ресурсы).
Compliance with ethical standards. Consent statement. The patient consented to the publication of the article “Microsurgical removal of a cavernous malformation on the midbrain dorsal surface using the supracerebellar infratentorial approach: а clinical case” in the “Sechenov Medical Journal”.
Conflict of interests. The authors declare that there is no conflict of interest.
Financing. The study was not sponsored (own resources).
1. Рубрикатор Клинических рекомендаций Минздрава России / Клинические рекомендации / Мононевропатии (Утверждены Минздравом РФ) https://cr.minzdrav.gov.ru/preview-cr/166_2 (дата обращения: 13.05.2024).
Список литературы
1. Snellings D.A., Hong C.C., Ren A.A., et al. Cerebral Cavernous Malformation: From Mechanism to Therapy. Circ Res. 2021 Jun 25; 129(1): 195–215. https://doi.org/10.1161/CIRCRESAHA.121.318174. Epub 2021 Jun 24. Erratum in: Circ Res. 2021 Aug 6; 129(4): e101. https://doi.org/10.1161/RES.0000000000000496. PMID: 34166073
2. Tu T., Peng Z., Ren J., Zhang H. Cerebral Cavernous Malformation: Immune and Inflammatory Perspectives. Front Immunol. 2022 Jun 30; 13: 922281. https://doi.org/10.3389/fimmu.2022.922281. PMID: 35844490
3. Garcia R.M., Ivan M.E., Lawton M.T. Brainstem cavernous malformations: surgical results in 104 patients and a proposed grading system to predict neurological outcomes. Neurosurgery. 2015 Mar; 76(3): 265-277; discussion 277–278. https://doi.org/10.1227/NEU.0000000000000602. PMID: 25599905
4. Deshmukh V.R., Rangel-Castilla L., Spetzler R.F. Lateral inferior cerebellar peduncle approach to dorsolateral medullary cavernous malformation. J Neurosurg. 2014 Sep; 121(3): 723–729. https://doi.org/10.3171/2014.5.JNS132276. Epub 2014 Jun 27. PMID: 24972129
5. de Oliveira J.G., Lekovic G.P., Safavi-Abbasi S., et al. Supracerebellar infratentorial approach to cavernous malformations of the brainstem: surgical variants and clinical experience with 45 patients. Neurosurgery. 2010 Feb; 66(2): 389–399. https://doi.org/10.1227/01.NEU.0000363702.67016.5D. PMID: 20042987
6. Hong T., Xiao X., Ren J., et al. Somatic MAP3K3 and PIK3CA mutations in sporadic cerebral and spinal cord cavernous malformations. Brain. 2021 Oct 22; 144(9): 2648–2658. https://doi.org/10.1093/brain/awab117. PMID: 33729480
7. Rustenhoven J., Tanumihardja C., Kipnis J. Cerebrovascular Anomalies: Perspectives From Immunology and Cerebrospinal Fluid Flow. Circ Res. 2021 Jun 25; 129(1): 174–194. https://doi.org/10.1161/CIRCRESAHA.121.318173. Epub 2021 Jun 24. PMID: 34166075
8. Jong-A-Liem G.S., Martins Sarti T.H., Fernandes Lima J.V., et al. Midbrain Cavernous Malformation: Microsurgical Nuances and an Anatomoclinical Review 2-Dimensional Video. World Neurosurg. 2024 Nov; 191: 23–24. https://doi.org/10.1016/j.wneu.2024.07.213. Epub 2024 Aug 8. PMID: 39122114
9. Kurihara N., Suzuki H., Kato Y., et al. Hemorrhage owing to cerebral cavernous malformation: imaging, clinical, and histopathological considerations. Jpn J Radiol. 2020 Jul; 38(7): 613–621. https://doi.org/10.1007/s11604-020-00949-x. Epub 2020 Mar 27. PMID: 32221793
10. Joseph N.K., Kumar S., Brown R.D. Jr., et al. Influence of Pregnancy on Hemorrhage Risk in Women With Cerebral and Spinal Cavernous Malformations. Stroke. 2021 Jan; 52(2): 434– 441. https://doi.org/10.1161/STROKEAHA.120.031761. Epub 2021 Jan 25. PMID: 33493052
11. Spetzler R.F., Martin N.A. A proposed grading system for arteriovenous malformations. J Neurosurg. 1986 Oct; 65(4): 476–483. https://doi.org/10.3171/jns.1986.65.4.0476. PMID: 3760956
12. Lawton M.T., Kim H., McCulloch C.E. et al. A supplementary grading scale for selecting patients with brain arteriovenous malformations for surgery. Neurosurgery. 2010 Apr; 66(4): 702–713; discussion 713. https://doi.org/10.1227/01.NEU.0000367555.16733. E1. PMID: 20190666
13. Negoto T., Terachi S., Baba Y., et al. Symptomatic Brainstem Cavernoma of Elderly Patients: Timing and Strategy of Surgical Treatment. Two Case Reports and Review of the Literature. World Neurosurg. 2018 Mar; 111: 227–234. https://doi.org/10.1016/j.wneu.2017.12.111. Epub 2017 Dec 27. PMID: 29288846
14. Phi J.H., Kim S.K. Clinical Features and Treatment of Pediatric Cerebral Cavernous Malformations. J Korean Neurosurg Soc. 2024 May; 67(3): 299–307. https://doi.org/10.3340/jkns.2024.0047. Epub 2024 Mar 28. Erratum in: J Korean Neurosurg Soc. 2024 Jul; 67(4): 486. https://doi.org/10.3340/jkns.2024.0047.e1. PMID: 38547881
15. Ma L., Zhang S., Li Z.,, et al. Morbidity After Symptomatic Hemorrhage of Cerebral Cavernous Malformation: A Nomogram Approach to Risk Assessment. Stroke. 2020 Oct; 51(10): 2997– 3006. https://doi.org/10.1161/STROKEAHA.120.029942. Epub 2020 Sep 21. PMID: 32951540
Об авторах
Н. О. РахимовТаджикистан
Рахимов Нарзулло Одинаевич, канд. мед. наук, доцент кафедры нейрохирургии и сочетанной травмы; врач-нейрохирург
пр-т Сино, ул. Сино, д. 29–31, г. Душанбе, 734003,
пр-т И. Сомони, д. 59, г. Душанбе, 734026
Х. Д. Рахмонов
Таджикистан
Рахмонов Хуршед Джамшедович, д-р мед. наук, профессор кафедры нейрохирургии и сочетанной травмы; директор
пр-т Сино, ул. Сино, д. 29–31, г. Душанбе, 734003,
пр-т И. Сомони, д. 59, г. Душанбе, 734026
Д. Р. Сангинов
Таджикистан
Сангинов Джумабой Рахматович, д-р мед. наук, профессор кафедры онкологии
пр-т Сино, ул. Сино, д. 29–31, г. Душанбе, 734003
М. А. Хасанов
Таджикистан
Хасанов Мухамадраджаб Амридинович, ординатор кафедры нейрохирургии и сочетанной травмы
пр-т Сино, ул. Сино, д. 29–31, г. Душанбе, 734003
Дополнительные файлы
|
1. 1210-CARE checklist | |
| Тема | ||
| Тип | Исследовательские инструменты | |
Скачать
(107KB)
|
Метаданные ▾ | |
Рецензия
Sechenov Medical Journal. Editor's checklist for this article you can find here.
Журнал «Сеченовский вестник» |
| Sechenov Medical Journal |
Рецензии на рукопись |
| Peer-review reports |
Название / Title | Микрохирургическое удаление кавернозной мальформации дорсальной поверхности среднего мозга путем супрацеребеллярного инфратенториального доступа: клинический случай / Microsurgical removal of a cavernous malformation on the midbrain dorsal surface using the supracerebellar infratentorial approach: а clinical case |
Раздел / Section
| НЕЙРОХИРУРГИЯ/ NEUROSURGERY
|
Тип / Article | Клинический случай / Сlinical case |
Номер / Number | 1210
|
Страна/территория / Country/Territory of origin | Россия / Russia |
Язык / Language | Английский /Русский/ English/Russian
|
Источник / Manuscript source | Инициативная рукопись / Unsolicited manuscript |
Дата поступления / Received | 12.05.2025 |
Тип рецензирования / Type ofpeer-review | Двойное слепое / Double blind |
Язык рецензирования / Peer-review language | Русский / Russian |
РЕЦЕНЗЕНТ А / REVIEWER A
Инициалы / Initials | 1210_А
|
Научная степень / Scientific degree | Кадидат медицинских наук / Cand. of Sci. (Medicine)
|
Страна/территория / Country/Territory | Россия / Russia
|
Дата рецензирования / Date of peer-review | 09.06.2025 |
Число раундов рецензирования / Number of peer-review rounds | 1 |
Финальное решение / Final decision | принять к публикации / accept
|
ПЕРВЫЙ РАУНД РЕЦЕНЗИРОВАНИЯ / FIRST ROUND OF PEER-REVIEW
Представленный клинический случай микрохирургического удаления кавернозной мальформации дорзальной поверхности среднего мозга из супрацеребеллярного - инфратенториального доступа отражает высокий профессионализм авторов при выборе тактики лечения данной патологии. Авторам удалось успешно прооперировать 38-летнего пациента с вышеуказанной патологией добиться регресса неврологической симптоматики.
В представленной работе полностью дана характеристика самой патологии, использованы современные методы диагностики и нейровизуализации, что наглядно показывают приведённые иллюстрации.
Следует подчеркнуть, что успех операции зависит от тщательной предоперационной подготовки всей команды. Авторы сравнивали всевозможные доступы к данной зоне и выбрали самый оптимальный доступ
Имеются незначительные орфографические ошибки и неточности при оформлении рукописи, что требует корректировки.
ЗАКЛЮЧЕНИЕ: принять к публикации
РЕЦЕНЗЕНТ B / REVIEWER B
Инициалы / Initials | 1210_В
|
Научная степень / Scientific degree | Кандидат медицинских наук / Cand. of Sci. (Medicine) |
Страна/территория / Country/Territory | Россия / Russia
|
Дата рецензирования / Date of peer-review | 12.06.2025 |
Число раундов рецензирования / Number of peer-review rounds | 1 |
Финальное решение / Final decision | Отклонить / Decline
|
ПЕРВЫЙ РАУНД РЕЦЕНЗИРОВАНИЯ / FIRST ROUND OF PEER-REVIEW
Представленная работа, посвящённая клиническому случаю хирургического лечения кавернозной мальформации области таламуса и среднего мозга, представляет определённый практический интерес благодаря детальному описанию планирования вмешательства, хода операции и благоприятного исхода для пациента.
Вместе с этим рукопись нуждается в доработке по ряду аспектов. По данным МРТ определяется крупная кавернозная мальформация левого таламуса с вовлечением дорсальной части среднего мозга. Текст содержит значительное количество языковых и стилистических неточностей, что затрудняет восприятие описания хирургического вмешательства. Рекомендуется привести анатомическую терминологию в соответствие с международными стандартами (PNA) и уточнить формулировки. Например, фразу «Соединительные вены к тенториуму разделяются, чтобы открыть коридор к свободному краю тенториума. Арахноидальная оболочка заднего резцового пространства рассекали, чтобы дренировать четверохолмную цистерну и обнажить дорзальную часть среднего мозга» целесообразно переформулировать следующим образом: «Для доступа к свободному краю намёта мозжечка были пересечены мостиковые вены между мозжечком и наметом. Далее выполнена диссекция паутинной оболочки заднего отдела четверохолмной цистерны для визуализации дорсальной поверхности среднего мозга».
Следует отметить, что использованный хирургический доступ является достаточно хорошо описанным и широко применяемым в нейрохирургической практике, и в представленном случае авторам было бы важно более чётко обозначить, в чём именно состоит оригинальность их технического решения, если она предполагается. В описании клинической картины целесообразно уточнить сторону косоглазия и отразить элементы альтернирующего синдрома, что сделает неврологический статус более понятным для читателя. Комментарии к иллюстрациям нуждаются в расширении и уточнении с расшифровкой всех обозначений. Отдельного уточнения требует также применённая классификация каверном – рекомендуется использовать классификации, принятые для кавернозных мальформаций ствола головного мозга.
В целом рукопись имеет потенциал, однако требует существенной доработки с учётом указанных замечаний. После внесения соответствующих исправлений и возможной корректировки названия рекомендуется повторная подача материала на рассмотрение.
ЗАКЛЮЧЕНИЕ: отклонить статью.
РЕКОМЕНДАЦИИ НАУЧНЫХ РЕДАКТОРОВ ЖУРНАЛА / RECOMMENDATIONS
OF THE SCIENTIFIC EDITORS OF THE JOURNAL
Ключевые слова
- Необходимо добавить 5–8 ключевых слов, которые обеспечат корректное индексирование статьи в базах данных и повысит её видимость в научных поисковых системах. При этом ключевые слова не должны напрямую повторять формулировки, используемые в названии рукописи.
Ключевые положения
- Следует добавить три ключевых положения, отражающих наиболее важные выводы и практическую значимость статьи. Это позволит читателю быстро понять, какие новые знания и клинические выводы можно получить из представленной работы.
Введение
- Требуется чётко сформулировать новизну исследования (например, как первый клинический опыт в Таджикистане) и обосновать значимость публикации именно данного клинического случая, что усилит научную и практическую ценность рукописи.
- Цель описания клинического случая должна быть сформулирована ясно и размещена в последнем абзаце введения, что обеспечит логическую завершённость и структурированность раздела.
Основной текст
- Необходимо указать уровень сознания по шкале комы Глазго, а также уточнить сторону косоглазия, наличие мидриаза и паралича аккомодации, поскольку эти данные важны для объективной оценки неврологического статуса пациента.
- Описание хода операции рекомендуется структурировать по этапам, что повысит ясность изложения и облегчит восприятие материала читателем.
Язык
- Текст на русском языке требует значительного литературного и стилистического редактирования, включая согласование падежных форм и лексико-грамматическую корректность предложений, что необходимо для повышения читаемости и академического уровня рукописи.
- Все анатомические термины должны быть приведены в соответствии с Парижской анатомической номенклатурой (PNA), что обеспечит международную стандартизацию терминологии.
Рисунки
- Изображения, представленные на рисунке 2, необходимо отсканировать в высоком качестве с одинаковыми параметрами яркости и контрастности. Каждое изображение должно быть предоставлено отдельным файлом, что требуется для качественной верстки и публикации.
- В подписях к рисункам следует подробно описать все выявленные изменения, а на самих изображениях обозначить их стрелками, что повысит информативность и научную ценность иллюстраций.
- Рисунки необходимо предоставить в отдельных файлах с соблюдением требований к оформлению изображений, размещённых на сайте журнала, что обеспечит их соответствие техническим стандартам издания.
Список литературы
- Для всех классификаций, используемых в тексте (IV/V степени по классификации Medical Research Council, Spetzler–Martin IV, хирургическая стратегия по M. Lawton–Young III, Grade 7), необходимо привести ссылки в виде сносок, и не включать их в основной список литературы, поскольку они используются в качестве описательных шкал.
- Для всех источников следует добавить идентификаторы DOI и PMID, что необходимо для корректной индексации и проверки источников в международных базах данных.
- Для источника № 8 необходимо указать ISBN, что обеспечит его точную идентификацию.
- Список литературы должен быть оформлен в соответствии с требованиями журнала (раздел 5.7: что является обязательным условием для публикации рукописи.
































